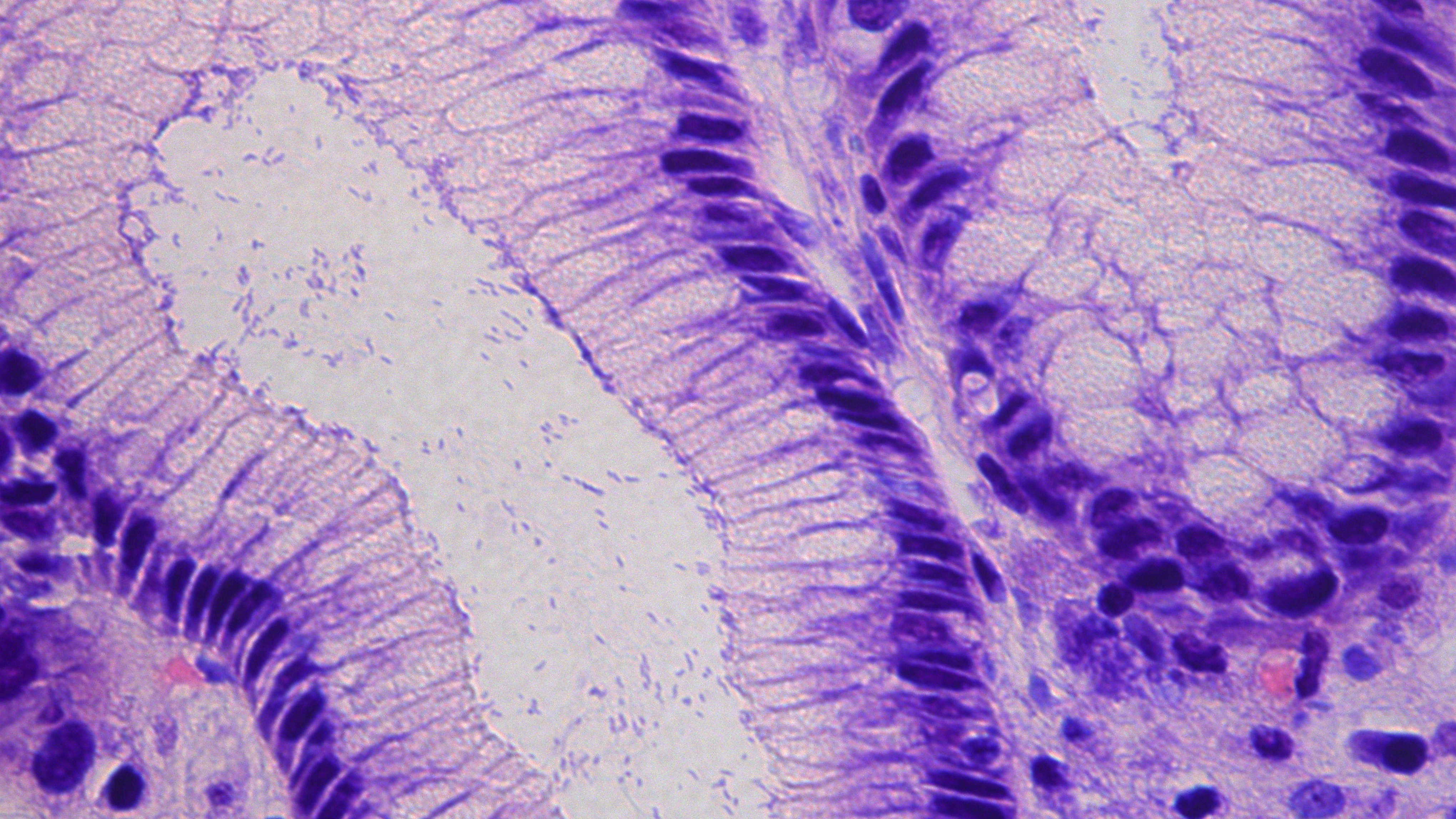
Hoffnung für Vermeidung von Magenkrebs

Technische Universität München, 18.03.2026

Dr. Marlena Mucha ist der diesjährige BZKF Young Scientist Fellow für den Standort Augsburg

Augsburg, 16.03.2026

Staatsminister Markus Blume zu Gast im neuen ITC in Erlangen

Erlangen, 03.03.2026

EU-Fahrplan für bessere genetische Beratung bei Krebs

Würzburg, 06.03.2026

100. CAR-T-Zell-Infusion aus Erlanger Eigenherstellung

Erlangen, 04.03.2026

Genomischer „Arztbrief“ gegen resistente Myelomzellen

Würzburg, 27.02.2026

Persönliche Begleitung von Menschen mit und nach Krebs

Erlangen, 24.02.2026

Mit Eingriff in die Genregulation gegen Nierenkrebs

Erlangen, 23.02.2026

3D-Modell eröffnet neue Ansatzpunkte für Therapien von Hirnmetastasen nach Brustkrebs

Würzburg, 23.02.2026

Die Optimierung der CAR-T-Zelltherapie

LMU Klinikum München, 11.02.2026

Etabliertes Krebsmedikament reaktiviert Immuntherapie

Technische Universität München, 11.02.2026

Metastasen können mehr als nur wachsen, manche streuen weiter

Regensburg, 10.02.2026

Kick-Off Meeting des BZKF-Leuchtturms Omics, Genomics and Liquid Biopsy

Augsburg, 02.02.2026

Zukunftsmodell für strukturierte, interdisziplinäre Krebsversorgung

Erlangen, 30.01.2026

Krebsbehandlung darf keine Frage des Wohnorts sein

München, 28.01.2026

Brustkrebs: Neue S3-Leitlinie für die bestmögliche Versorgung

Würzburg, 22.01.2026

Die Wirksamkeit von Antikörpertherapien vorhersagen

Erlangen, 22.01.2026

Wo die Medizin der Zukunft längst Gegenwart ist

Erlangen, 21.01.2026

WERA am Weltkrebstag 2026 – Gemeinsam. Informiert. Gestärkt.

Würzburg, 20.01.2026

Gemeinsam für personalisierte Krebsmedizin in Europa

Würzburg, 16.01.2025

100 Patientinnen und Patienten über Onko-Studien-Suche registriert

Würzburg, 15.01.2026

Neue Klassifikation standardisiert Hirntumor-Operationen

Erlangen, 13.01.2026

Prostatakrebs: Lebensalter allein ist kein Ausschlusskriterium für moderne Therapien

Würzburg, 09.01.2026

Strahlkraft für die Krebsforschung: BZKF stärkt Würzburger Leuchtturm „Präklinische Modelle“

Würzburg, 08.01.2026

Neues aus der Krebsforschung: Das Uniklinikum Würzburg lädt zum Gesundheitstalk ein

Würzburg, 07.01.2026

Dr. Janina Dörr erhält Young Scientist Fellowship 2026 des Bayerischen Zentrums für Krebsforschung

LMU, 18.12.2025

UKW-Startup T-CURX erhält 20 Mio. US-Dollar-Finanzierung von internationalen Investoren

Würzburg, 17.12.2025

Versorgungsnetzwerk „OnkoNetzOberland“ stärkt die wohnortnahe Krebsversorgung im bayerischen Oberland

München, 05.12.2025

Stiftung „Forschung hilft“: Weitere 5.000 Euro-Spende vom Krimi-Autor Alexander Meining

Würzburg, 04.12.2025

Sonderforschungsbereich der Immunmedizin wird weiterhin durch die DFG gefördert

Regensburg, 04.12.2025

„Bad Guys“ im Immunsystem entlarven und wieder zu Verbündeten im Kampf gegen Krebs machen

Würzburg, 03.12.2025

Tumoren den Nährboden entziehen

Erlangen, 03.12.2025

Darmregeneration nach Krebstherapie

Regensburg, 27.11.2025

23 Millionen Euro: FAU mit drei Sonderforschungsbereichen erfolgreich

Erlangen, 24.11.2025

Würzburger Krebsforschungsprojekte mit rund 235.000 Euro gefördert

Würzburg, 24.11.2025

Neue Sonderforschungsbereiche: Voller Erfolg für Uni und Klinikum

Würzburg, 21.11.2025

Neue Strahlenexpertin will mit weniger Bestrahlung mehr erreichen

Erlangen, 13.11.2025

Bauchspeicheldrüsenkrebs bildet eigene „Synapsen“

München, 11.11.2025

Des Genomrätsels Lösung

Erlangen, 03.11.2025

Potenzial mikrobiombasierter Therapien: Bakterielles Stoffwechselprodukt stärkt den Körper nach Krebstherapie

Regensburg, 28.10.2025

Sensibilisierung für Veranlagung und Vorbeugung von Krebs

Würzburg, 24.10.2025

Claudia Löffler erhält Professur für Integrative Onkologische Medizin

Würzburg, 21.10.2025

Team der Erlanger Strahlen- und Frauenklinik mit internationalem Posterpreis ausgezeichnet

Erlangen, 20.10.2025

Spezifische Immunmuster in Metastasen entscheiden über den Therapieerfolg

Würzburg, 09.10.2025

Wachstum von Darmkrebszellen ausbremsen

Würzburg, 07.10.2025

Netzwerktreffen von CCC WERA und NCT WERA am Uniklinikum Erlangen

Erlangen, 01.10.2025

Unterstützung für die Brustkrebsforschung

Erlangen, 29.09.2025

Don't eat me”-Signale sind Überlebenstrick schädlicher T-Zellen nach Stammzelltransplantation

Würzburg, 02.10.2025

Wie Krebszellen aus der Brust ins Gehirn gelangen und dieser Weg gestoppt werden kann

Würzburg, 02.10.2025

Neues Institut für Klinische Genetik und Genommedizin am UKW stärkt Kompetenz in Bayern

Würzburg, 30.09.2025

Wie chronischer Zellstress das Darm-Mikrobiom verändert

München, 26.09.2025

Würzburger Forscher auf Internationalem Myelom-Kongress in Toronto ausgezeichnet

Würzburg, 26.09.2025

Angela Riedel (Mitte) mit den Erstautoren Moutaz Helal und Greta Mattavelli im Labor

Die Korruption im Lymphknoten unterbinden

Würzburg, 15.09.2025

Winzige Partikel mit großer Wirkung

Erlangen, 15.09.2025

Auf der Main-Post-Bühne am 27. September (von links): Prof. Dr. Hermann Einsele, Gabriele Nelkenstock und Prof. Dr. Andreas Beilhack

Krebsforschung und Herzschwäche auf dem Podium der Mainfranken-Messe

Würzburg, 11.09.2025

Online-Kurs Krebsmedizin

Der kostenfreie Online-Kurs

Neue Faktoren für erhöhtes Krebsrisiko finden

Erlangen, 21.08.2025

BZKF-Publikationspreis für Frederik A. Stübs und Carol-Immanuel Geppert

Erlangen, 13.08.2025

„Große Ehre“: Prof. Dr. Hermann Einsele in die Bayerische Akademie der Wissenschaften aufgenommen

Würzburg, 12.08.2025

Erlanger Strahlenforscher erhält renommierten Koester-Preis

Erlangen, 04.08.2025

Für eine optimale Versorgung krebskranker Kinder: Auftakt der KioNet-Roadshow am Uniklinikum Würzburg

Würzburg, 16.07.2025

2. Bayerischer Kinderkrebstag am 15. Juli

Würzburg, 10.07.2025

Zentrum für Personalisierte Medizin zertifiziert

Augsburg, 08.07.2025

Gründungspreis m4 Award geht an Erlanger Forschungsteam

Erlangen, 04.07.2025: 500.000 Euro für Kampf gegen Lebermetastasen

Die richtige Therapie wählen

Erlangen, 02.07.2025

Erster Patient der LION-1-Studie erhält Immunzelltherapie gegen neues Zielmolekül

Würzburg, 25.06.2025

Neuer Schwerpunktleiter an der Würzburger Universitäts-Kinderklinik

Würzburg, 20.06.2025

Das Bild zeigt Wissenschaftlerinnen und Wissenschaftler am Computer

Künstliche Intelligenz soll Krebstherapie unterstützen

Technische Universität München, 10.06.2025

Das Bild zeigt Prof. Wittig-Sauerwein

Strahlentherapie: Kongress bietet umfangreiches Patientenprogramm auch online

Würzburg, 04.06.2025

Wilms-Tumoren: Wie Gene und Prägung den Weg für Krebs ebnen

Würzburg, 04.06.2025

Forschungspreis für Regensburger Mikrobiom-Studie zur Stammzelltransplantation

München/Regensburg, Mai 2025

Gabriele Nelkenstock, die Vorsitzende des Vereins „Hilfe im Kampf gegen Krebs“ (Mitte), überreichte den Spendenscheck zur Finanzierung der FBREK-Nurse an Privatdozentin Dr. Tanja Schlaiß und Klinikdirektor Prof. Dr. Achim Wöckel von der Würzburger Universitäts-Frauenklinik.

Hilfe im Kampf gegen Krebs e.V. finanziert eine FBREK-Nurse an der Würzburger Universitäts-Frauenklinik

Würzburg, 20.05.2025

KI-Bildanalyse erkennt Organschäden frühzeitig

Technische Universität München (TUM), 29.04.2025

Das Leitungsteam der Würzburger Regionalgruppe Frauenselbsthilfe Krebs e.V. (von links): Beate Beyrich, Brigitte Keller und Friederike Hofmann.

Jubiläumsfeier: 15 Jahre Frauenselbsthilfe Krebs in Würzburg

Würzburg, 28.04.2025

Mit LION-1 startet erste NCT WERA-Brückenstudie

Würzburg, 15.04.2025

Zukunft der translationalen Immunologie im Fokus

Würzburg, 08.04.2025: Else Kröner-Symposium "Translational Immunology – From Target to Therapy IX”

Die Stiftung „Forschung hilft“ zu Gast in Staatskanzlei und Landtag

Würzburg, 02.04.2025

Podcast: "Krebs besiegen"

In Teil 1 der Podcast-Dokumentation "Krebs besiegen" der Bayerischen Akademie der Wissenschaft geht es um die Krebsdiagnostik, bildgebende Verfahren…

Stampfend und springend zu mehr Lebensqualität

Würzburg, 20.03.2025: Impact-Training ist beim Multiplen Myelom machbar / neue Studie soll Wirksamkeit auf Knochengesundheit prüfen

Wer hat welches Tumormodell?

Würzburg, 14.03.2025: Wissenschaftler im direkten Austausch: der BZKF-Leuchtturm „Präklinische Modelle“

Hochrisikomerkmale beim Multiplen Myelom

Würzburg, 28.02.2025: Kombination aus FISH und SKY92 verbessert Diagnostik

3D-Modell zur Untersuchung von Glioblastomen

Würzburg, 27.02.2025: Resistenzen des Hirntumors gegen Chemotherapien besser verstehen

11.600 Euro aus der Gaming-Szene

Würzburg, 27.02.2025: Gaming-Szene Spendet Geld für "Hilfe im Kampf gegen Krebs"

TrackRAD2025

BZKF Lighthouse Image Guidance in Local Therapies

Simples Protokoll mit bahnbrechendem Effekt für Immuntherapien

Würzburg, 17.02.2025, Emerging Investigators EHA-EBMT Joint Fellowship Award für die Arbeitsgruppe von Maik Luu

Dr. Florian Lüke erhält BZKF-Forschungsstipendium

Regensburg, 13.02.2025: Young-Scientist-Fellowship-Förderung des BZKF

Neues digitales Forschungsnetzwerk

Augsburg, 06.02.2025: Virtual Science Hub startet an der Universitätsmedizin Augsburg

Patientenveranstaltung: Leben nach und mit Krebs

Würzburg, 23.01.2025: Das Comprehensive Cancer Center Mainfranken bietet als Onkologisches Spitzenzentrum beim „KrebsInfoTag“ am 8. Februar 2025 für…

Hochmoderne, gleichberechtigte Krebsversorgung in ganz Europa

JANE-2: Fortschritte in der Krebstherapie durch europäische Kompetenznetzwerke / UKW bringt Expertise in Genomtechnologien und bei Krebs mit…

Highlights der ASH-Jahrestagung im Überblick

Die regelmäßig im Dezember stattfindende Jahrestagung der American Society for Hematology (ASH) ist die weltweit wichtigste Informationsdrehscheibe…

GDF-15-Blockade: Ein Türöffner für die Immuntherapie

Validierung von GDF-15 als therapeutisches Zielmolekül zur Verbesserung der Immunantwort gegen Tumore

Roboter mit Waschanlage für Killerzellen gegen Krebs

Am UKW wird ein Prototyp für automatisierte und digitalisierte CAR-T-Zellherstellung aufgebaut.

100.000 Euro für neue Therapieansätze bei Nebennierenkrebs

Dr. Barbara Altieri vom UKW im BZKF-Young-Scientist-Fellowship-Programm 2025

Mit besserem Geschmack durch die Tumortherapie

Maßgeschneiderte Ernährungsempfehlungen für Krebspatienten mit Geschmacksstörungen.

Neue Erkenntnisse zur Risikoabschätzung bei seltenen, aggressiven Tumoren im Kindesalter

Universitätsmedizin erzielt bedeutende Fortschritte zur Risikoeinschätzung und Behandlung von malignen rhabdoiden Tumoren außerhalb des Gehirns.

Was T-Zellen im Tumor müde macht

Detaillierte Analyse im Journal Blood von extramedullären Läsionen beim Multiplen Myelom und neue Therapieansätze.

Helga-Reifert-Preis für PD Dr. Dennis Harrer

PD Dr. Dennis Harrer, Assistenzarzt der Klinik und Poliklinik für Innere Medizin III am Universitätsklinikum Regensburg (UKR), wurde für seine…

CCC WERA aktiv im Verbund ONCOnnect

Die Comprehensive Cancer Center Allianz WERA ist Teil des Verbundprojekts ONCOnnect und setzt sich aktiv für das Ziel einer flächendeckend hohen…

Neuer Sonderforschungsbereich in der Krebsforschung

Die Deutsche Forschungsgemeinschaft (DFG) fördert künftig einen weiteren Sonderforschungsbereich unter Leitung der Technischen Universität München…

Max-Armbrecht-Leukämiehilfe e.V. spendet für die Kinderkrebsforschung

Der Max-Armbrecht-Leukämiehilfe e.V. übergab einen Spendenscheck in Höhe von 25.000,00 € an die von Prof. Dr. med. Paul-Gerhardt Schlegel geleitete…